概述
SATB2(special AT-rich sequence-binding protein 2)是一种组织特异性表达的核基质附着区结合蛋白,参与转录调控和染色质重塑等过程。SATB2编码基因定位于染色体2q33.1,分子质量为83kDa。SATB2直接与调控颅面部发育和皮质神经元分化的转录因子相互作用,参与颅骨发育和皮质神经元分化等多种生物学过程。SATB2也调控骨骼发育、成骨细胞分化和免疫球蛋白基因的表达,可表达于含骨母细胞分化的良恶性骨肿瘤以及伴有异质性骨分化的软组织肿瘤。此外,在结直肠癌中具有高度敏感性,在其它上皮性肿瘤中罕见表达,其特异性高于其它结直肠癌的标记物,如CDX2和Cadherin 17等。
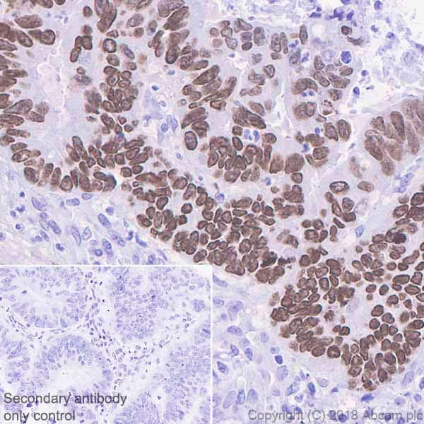
染色定位
细胞核
免疫组化表达:
SATB2在成人下消化道(如阑尾、结肠、直肠)上皮细胞和大脑皮质一部分神经细胞强阳性,在一部分淋巴细胞、输精管道细胞和附睾脂肪垫等组织呈弱到中等阳性。其余组织如小肠、胃、食管、涎腺、乳腺、肺、甲状腺、宫内膜、尿路细胞、肝细胞,胆管细胞、肾小管细胞、胎盘滋养层、骨骼肌和平滑肌细胞SATB2均阴性。
诊断应用
- SATB2是一种高度特异的成骨细胞分化标记物,如果和其他骨肿瘤诊断标记物联合使用,对骨肉瘤更具有诊断意义
- ATB2在结直肠癌中具有高度敏感性,同时在其他上皮性肿瘤罕见表达。因此,SATB2的特异性高于其他结直肠癌的标记物(如CDX2和CDH17)

评论