概述
在静止细胞中与E-cadherin胞质区结合,形成细胞-细胞黏附组件,以稳定细胞间粘附。WNT信号通路的重要调节蛋白,在WNT信号激活的细胞中由胞浆进入胞核成为转录激活因子。Wnt信号传导是传递生长刺激信号的通路,β-Catenin是该信号途径中的关键调节蛋白,可将信号由胞质传至细胞核,启动细胞核内特定基因的表达,调节细胞增生和分化。其自身发生突变或与之结合的APC蛋白异常时,可出现异常核表达,见于80%的大肠癌、胰腺实性假乳头 性肿瘤、深部软组织(韧带样型)纤维瘤病、鼻咽血管纤维瘤、肺癌、前列腺癌、食管癌、乳腺癌、卵巢癌、子宫内膜癌、家族性腺瘤息肉病、纤维腺瘤。主要用于恶性肿瘤诊断、浸润、转移机制研究。
染色定位
细胞膜/质/核
免疫组化表达
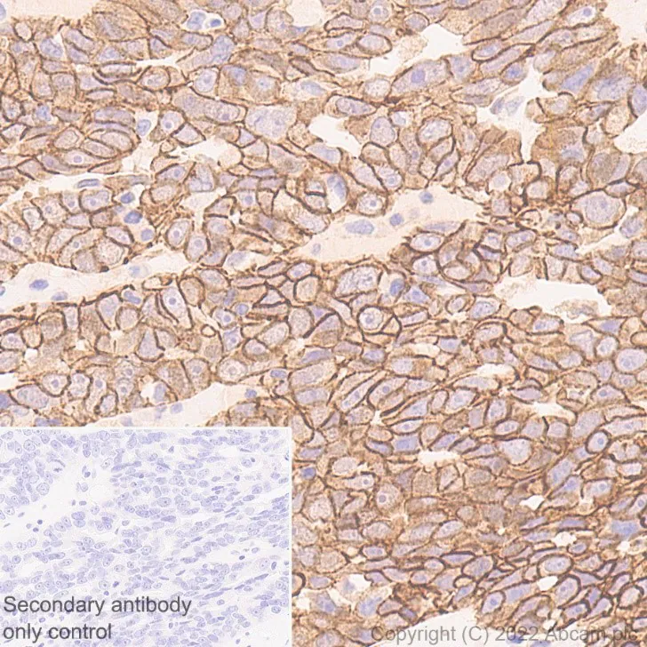
- 正常细胞呈膜染色,而异常细胞呈胞质和/或核染色
- 纤维瘤病呈核染色
- β-catenin调节异常也发生于滑膜肉瘤、子宫内膜间质肉瘤、癌肉瘤、骨肉瘤、脂肪肉瘤和恶性纤维组织细胞瘤
- BRAF激活后无蒂锯齿状结肠腺瘤细胞核内β-catenin蓄积,与异型增生发生有关:
增生性息肉,阴性
传统锯齿状腺瘤,阳性3%
平坦锯齿状腺瘤不伴异型增生,阳性28%
平坦锯齿状腺瘤伴异型增生,阳性100%
普通管状腺瘤,阳性100%
- 毛母质肿瘤含有β-catenin突变,肿瘤细胞明显的胞质和胞核阳性,相比之下,正常表皮或鳞状细胞癌细胞膜阳性。
诊断应用
- 一些子宫高级别子宫内膜样癌阳性但子宫浆液性癌阴性
- 作为免疫组化套餐的一个指标用于鉴别原发性卵巢子宫内膜样癌/卵巢粘液性癌和转移性结直肠癌
- 间叶性肿瘤的鉴别诊断:
高水平核阳性主要限于:韧带样纤维瘤病、孤立性纤维性肿瘤、滑膜肉瘤和子宫内膜间质肉瘤以及癌肉瘤
- 低水平核阳性偶见于多种肿瘤
- 胰腺实性-假乳头状肿瘤的诊断
- 毛母质肿瘤含有β-catenin突变,肿瘤细胞明显的胞质和胞核阳性

评论