概述

PIT-1也称为生长激素因子-1(GHF-1),是POU同源结构域家族的成员,对于垂体前叶的正常发育必不可少。PIT-1参与GH细胞、PRL细胞以及TSH细胞的分化。

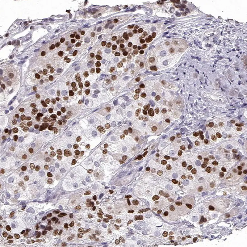
染色定位

细胞核/质

诊断应用

PIT-1在PRL瘤和GH瘤中的表达量明显增高,在ACTH和无功能腺瘤中则很少表达,因此PIT-1对人垂体腺瘤,尤其是GH和PRL腺瘤的细胞特异分化和增生具有一定作用。在新垂体分类中将具有PIT-1表达的多激素腺瘤定义为多激素PIT-1阳性腺瘤。主要用于垂体瘤的研究

pit1