首页
快速查询
免疫组化抗体
分子检测项目
特殊染色
WHO分类
肿瘤分期
病理基础
解剖学
组织学
取材规范
会议讲座
网盘
咖啡
关于
43
0
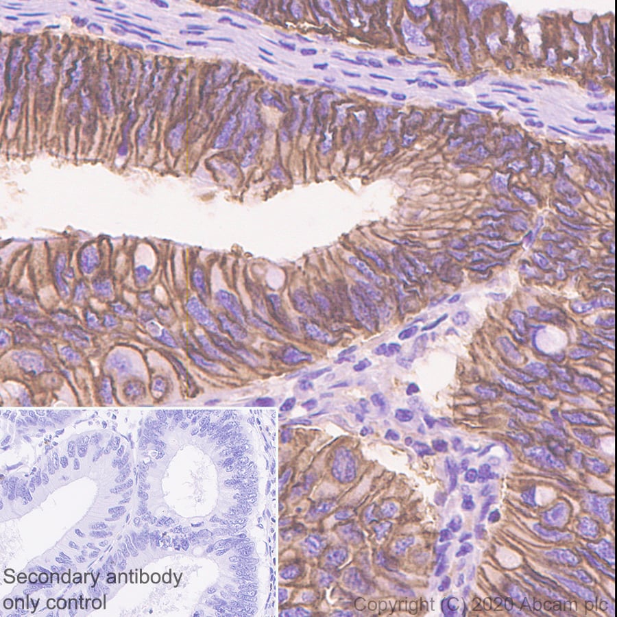
CDH17/Cadherin17
FZBL.TOP
2023-04-06
43
0
概述
CDH17也称肝-肠钙黏蛋白,属于钙粘蛋白超家族,介导细胞间粘附和肠肽转运。
染色定位
细胞质/膜
免疫组化表达
正常表达于小肠及大肠上皮细胞(食管及胃阴性)。
诊断应用
在后肾性腺瘤阳性率较高,而上皮为主型肾母细胞瘤和实体型乳头状肾癌阴性表达。
绝大多数原发性胃肠道腺癌阳性,转移性结肠腺癌中百分之百阳性,因此CDH17可与CDX2联合用于确定结直肠起源腺癌。
原发性膀胱腺癌也有较高的阳性率,而伴有腺样分化的尿路上皮癌中为阴性,可用以鉴别。
免疫组化抗体
BRG1/SMARCA4
Claudin 18.2
评论
复制链接
QQ
微博
评论