概述
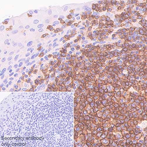
CD19是分子量95kDa的糖蛋白,是免疫球蛋白超家族成员之一,CD19与CD21、CD81和CD225(LEU-13)相结合,形成信号转导复合体。在B细胞发育、活化和分化阶段发挥重要的调节作用。在B细胞发育的整个过程都有表达,但在浆细胞的终末分化阶段表达下调,呈弱到中度阳性,骨髓内大多数的浆细胞为阴性。在T细胞、粒细胞和巨噬细胞不表达。用于标记正常B细胞及肿瘤性B细胞。主要用于淋巴造血系统疾病的研究。
染色定位
细胞膜或细胞质
免疫组化表达
- B细胞系发育的整个过程都表达CD19,但在浆细胞的终末分化期表达下调。CD19在生发中心和边缘区的B 细胞呈强阳性,滤泡间区散在少量细胞阳性;脾脏边缘区、生发中心及套区的B细胞也呈阳性;浆细胞也可呈阳性或弱阳性;骨髓内的大多数浆细胞呈阴性;T细胞和巨噬细胞呈阴性
- B细胞系肿瘤细胞呈阳性,包括白血病 (B淋巴母细胞白血病/BLBL, B-ALL/B-LBL),但浆细胞瘤阴性
- T细胞系肿瘤细胞呈阴性
诊断应用
联合检测CD19、CD56和κ/λ轻链限制性,有助于区分浆细胞肿瘤(CD19-、CD56+,κ/λ轻链限制性+)与多克隆性增生

评论