概述

H3K27M突变是组蛋白H3上27位赖氨酸(K27)被甲硫氨酸(methionine,M)替换(K27M),H3K27M突变破坏了组蛋白H3甲基化修饰位点,从而改变组蛋白甲基化状态。

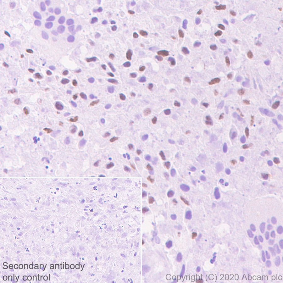
染色定位

细胞核

诊断应用

弥漫型中线胶质瘤和毛细胞星型细胞瘤高表达H3K27M突变蛋白,这类肿瘤的预后很差。可用于肿瘤分型的研究。

h3k27m