首页
快速查询
免疫组化抗体
分子检测项目
特殊染色
WHO分类
肿瘤分期
病理基础
解剖学
组织学
取材规范
会议讲座
网盘
咖啡
关于
52
0
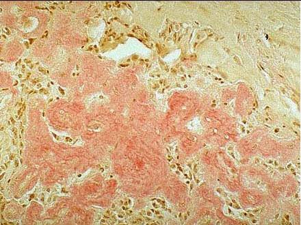
刚果红染色
FZBL.TOP
2023-03-08
52
0
阳性为红色,细胞核为蓝色。
意义
鉴别淀粉样蛋白,可以鉴别淀粉样血管病
识别肿瘤间质中是否是淀粉样物质沉积,如甲状腺髓样癌、浆细胞骨髓瘤等
特殊染色
阿利辛蓝-过碘酸雪夫氏染色(AB-PAS)
六胺银染色
评论
复制链接
QQ
微博
评论